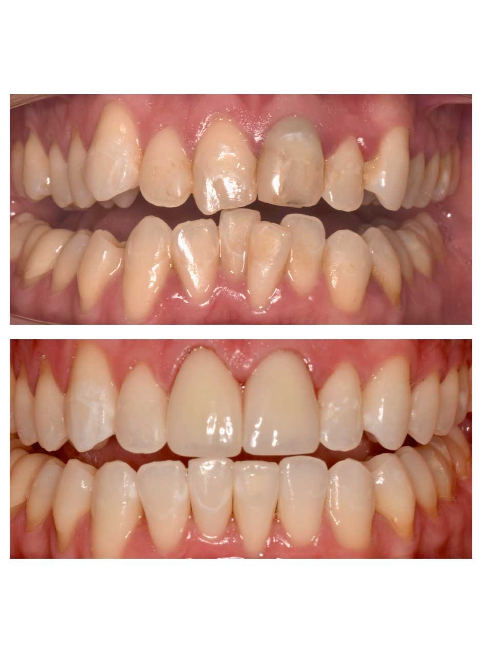
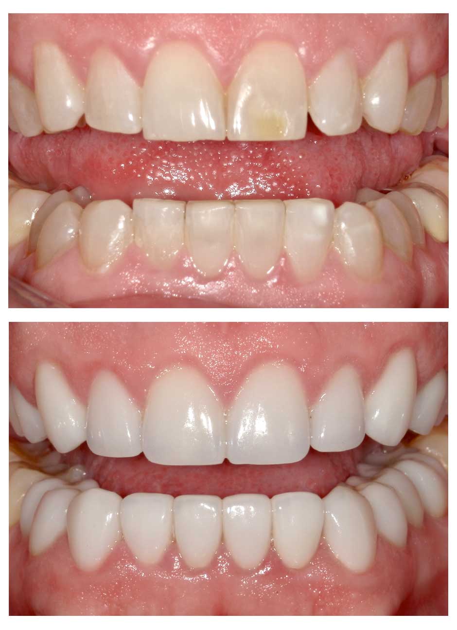
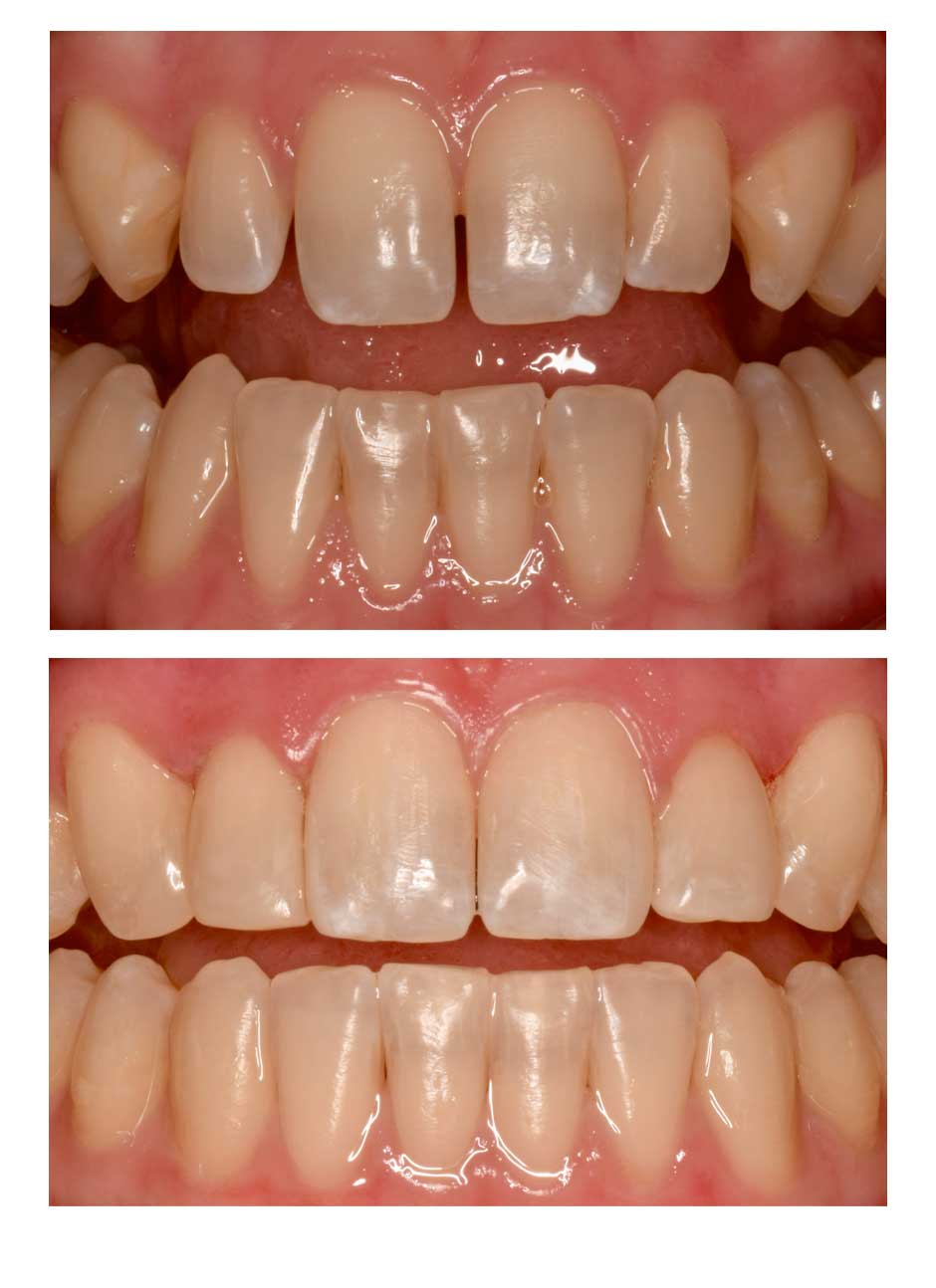
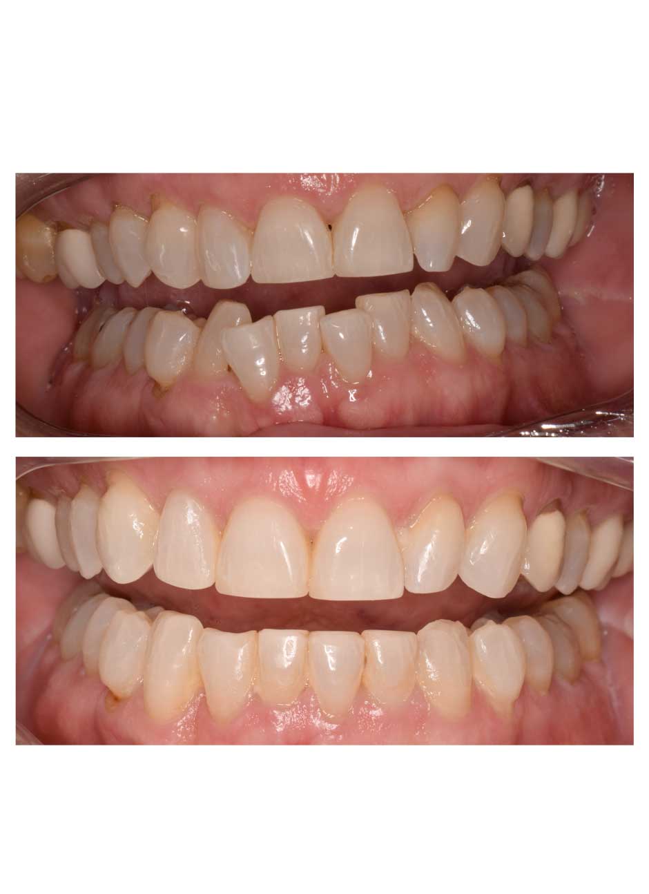
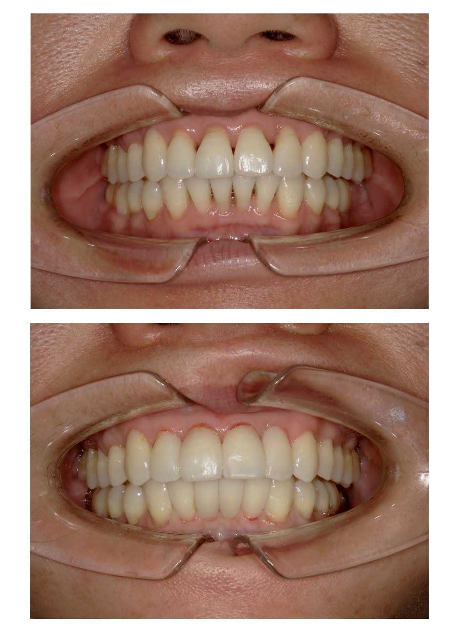
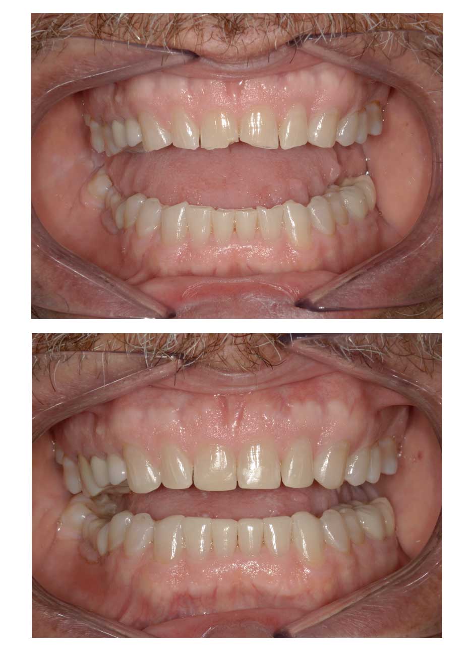
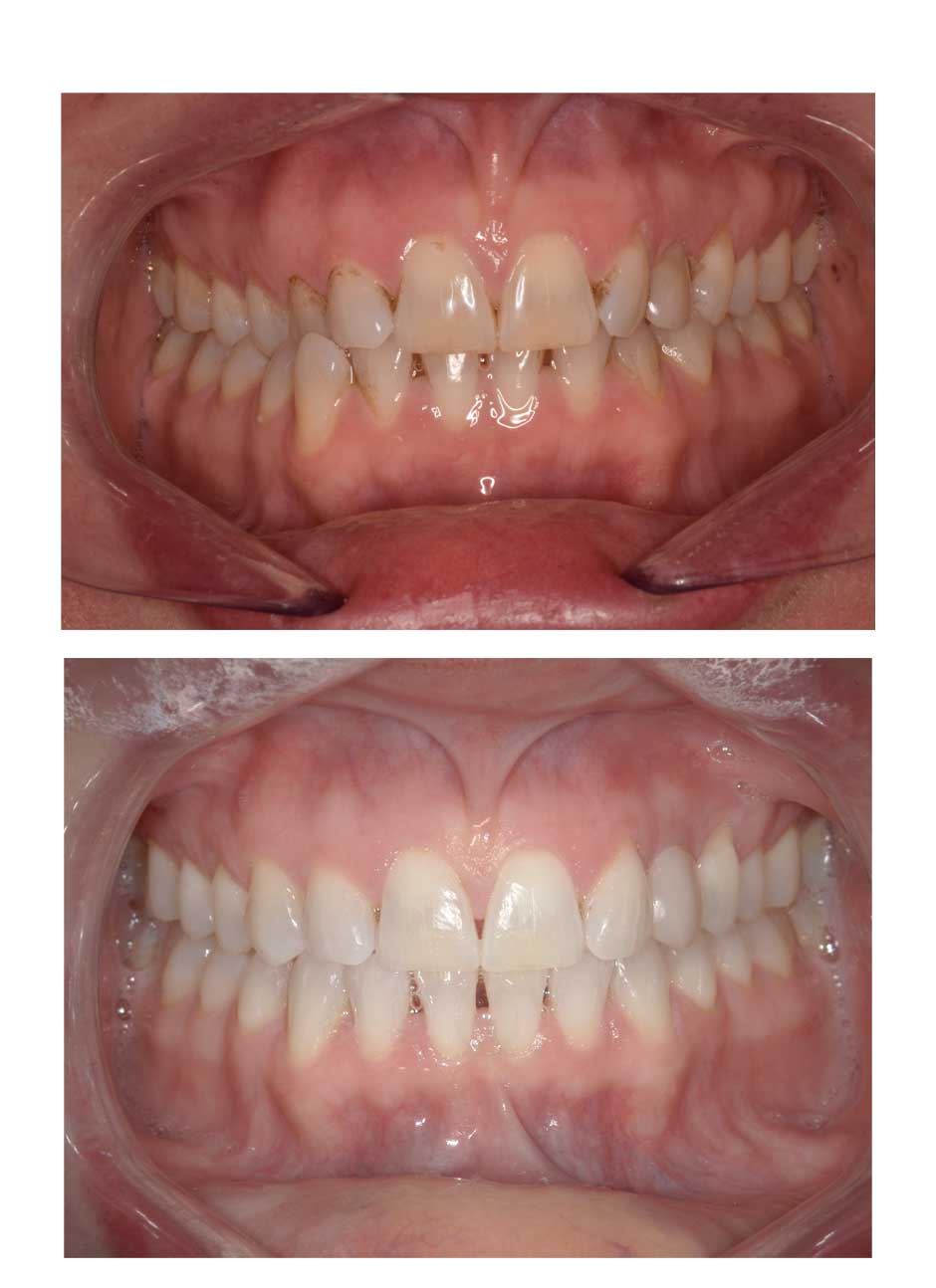
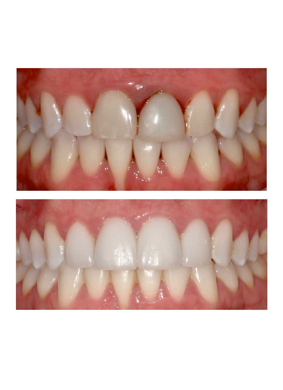
Austin Smile Before and After Gallery
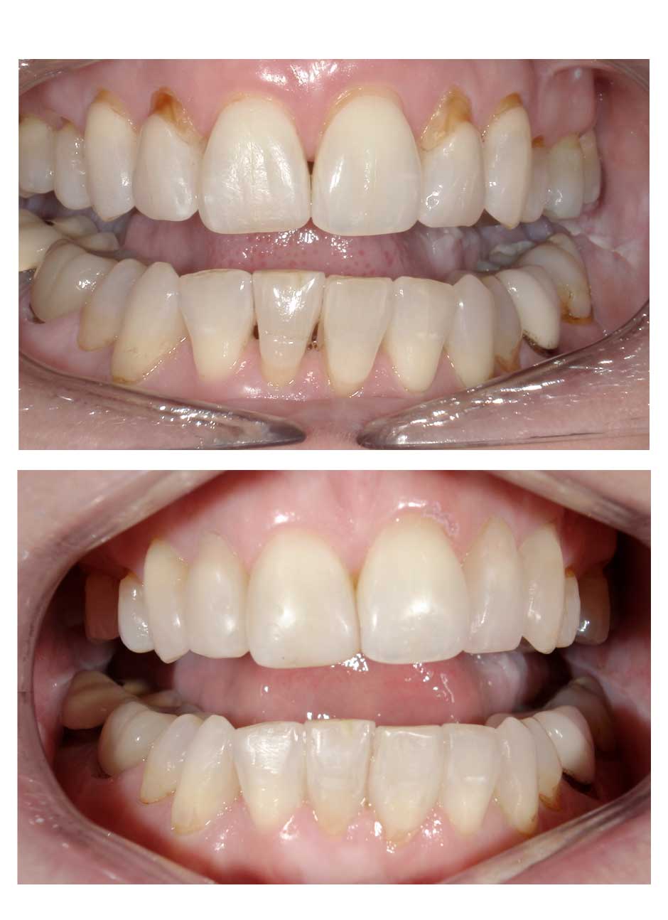
Welcome to the Austin City Dental Smile Before and After Gallery — a comprehensive look at real smile transformations completed by Dr. Steve Cook and Dr. Melissa Hernandez. Whether you’re considering veneers, crowns, bonding, Bioclear black triangle closure, or Invisalign, this page highlights what is possible for your smile.
Every transformation below reflects personalized treatment, natural-looking results, and dentistry designed to help you smile confidently again. Browse our Before and After cases to get inspired and see how your own smile could change.































