Bioclear® Black Triangle Treatment in Austin, TX

At Austin City Dental, Dr. Steve Cook uses the Bioclear® Method exclusively for black triangle closure—one of the most conservative, natural-looking ways to eliminate dark spaces between teeth caused by gum recession. If you are bothered by black triangles near your gumline, Bioclear can help you achieve a fuller, healthier-looking smile without removing healthy enamel.

What Is the Bioclear® Method?

The Bioclear Method is an advanced cosmetic dentistry technique designed to close black triangles between teeth using injection-molded composite and clear anatomic matrices.

Unlike traditional bonding, Bioclear reshapes the tooth at the gumline by wrapping it 360° to fill the dark space created by gum recession and improve the emergence profile. Once cured and polished, the result is smooth, natural, and easier to keep clean—so your smile looks more youthful and seamless.

Bioclear for black triangles is designed to:

  • Close dark gaps at the gumline without surgery
  • Preserve natural enamel with minimal or no drilling
  • Create a strong, stain-resistant seal
  • Blend seamlessly with surrounding teeth

What Does Bioclear Treat at Austin City Dental?

At Austin City Dental, Bioclear is used specifically for black triangle closure. Black triangles are dark spaces near the gumline that can form when gum tissue recedes or the gum papilla no longer fills the space between teeth.

You may be a great candidate for Bioclear black triangle treatment if you:

  • Notice dark gaps between your teeth near the gums
  • Feel your smile looks aged due to black triangles
  • Want a conservative option without veneers or surgery
  • Have healthy teeth but recessed gum tissue

For other cosmetic concerns—such as chips, significant discoloration, or major shape changes—Dr. Cook may recommend veneers, dental bonding, or crowns instead.

Bioclear vs. Other Black Triangle Treatments

If black triangles are your main concern, it helps to compare your options. While several cosmetic treatments can change tooth shape, the Bioclear Method is purpose-built for predictable black triangle closure.

Bioclear® for Black Triangles

  • Designed specifically to close black triangles
  • Wraps the tooth at the gumline for strength and longevity
  • Minimally invasive with excellent aesthetics
  • Often completed in one visit

Traditional Bonding

  • May leave ledges or rough margins near the gums
  • Less predictable for black triangle closure
  • More prone to staining and chipping over time

Porcelain Veneers

  • Can close black triangles but requires enamel removal
  • Best for full smile makeovers and bigger cosmetic goals
  • Higher investment and longer treatment time

Not sure which option fits your goals? We will review your smile, gum health, and timeline and help you choose between Bioclear and other cosmetic treatments like veneers or bonding.

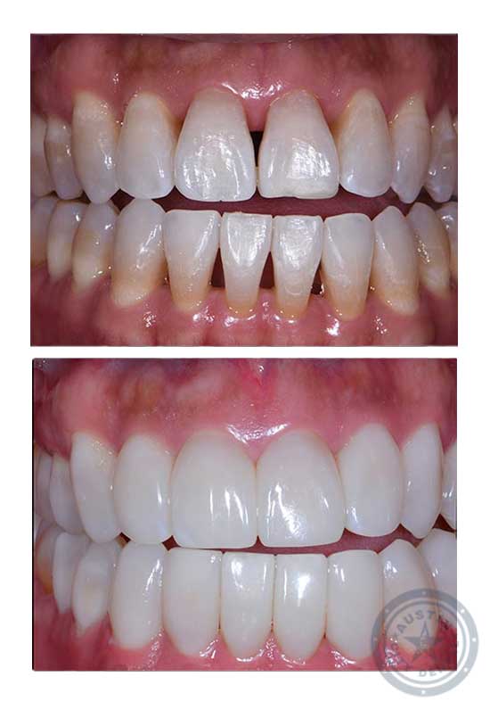
Bioclear black triangle closure treatment in Austin TX at Austin City Dental

What to Expect During Bioclear Treatment

Bioclear black triangle treatment is designed to be comfortable, efficient, and minimally invasive. A typical appointment includes:

  1. Consultation and exam — We review your goals, evaluate gum health, and take photos or digital scans if needed.
  2. Tooth preparation — Teeth are thoroughly cleaned and gently conditioned. In most cases, there is little to no drilling.
  3. Bioclear matrix placement — Clear matrices are placed around the teeth to create the ideal gumline contour.
  4. Injection-molded composite — Warmed composite resin is injected to close the black triangle and then cured for strength.
  5. Shaping and polishing — The restoration is contoured and polished to a high shine so it blends naturally with your smile.

Many Bioclear cases can be completed in a single visit, so you can leave our Austin dental office with a visibly improved smile the same day.

Benefits of Bioclear® for Black Triangles

Patients choose Bioclear because it offers an ideal balance of strength, beauty, and tooth preservation—especially when the goal is black triangle closure.

  • Eliminates dark spaces near the gumline
  • Preserves healthy tooth structure and enamel
  • Improves smile symmetry and a more youthful look
  • Creates smooth, cleanable contours
  • Stain-resistant, natural-looking results
  • Fast results with little to no downtime

How Long Does Bioclear Last?

With good home care and regular dental visits, Bioclear black triangle restorations can often last 7–10 years or longer. Because the composite is wrapped around the tooth and highly polished, it tends to wear evenly and resist staining better than standard bonding.

Is Bioclear Right for You?

You may be a great candidate for Bioclear black triangle closure if you:

  • See dark spaces or black triangles near the gumline
  • Want a cosmetic upgrade without shaving down enamel
  • Have mild to moderate gum recession with visible spacing
  • Prefer a conservative alternative to veneers

During your visit, our dentists will evaluate your bite, gum health, and enamel and review all options—so you can feel confident in your treatment plan.

You can also explore other smile solutions, including Invisalign®, veneers, and our broader cosmetic dentistry services.

Cost of Bioclear Black Triangle Treatment in Austin

The cost of Bioclear varies based on the number of teeth treated and the complexity of your black triangles. During your consultation, we will provide a clear plan and estimate before any work begins.

In many cases, Bioclear black triangle closure is:

  • Less invasive than porcelain veneers
  • More predictable than traditional bonding for gumline gaps
  • A smart investment in both appearance and confidence

Our team can also discuss payment options and any available financing to help make treatment fit comfortably into your budget.

Bioclear Before & After Results

Want to see what black triangle closure can look like? Visit our Smile Before and After Gallery to view real patient transformations, including Bioclear black triangle cases and other cosmetic dentistry results.

Ready to Fix Black Triangles with Bioclear in Austin?

If black triangles are making your smile look older or unhealthy, Bioclear offers a conservative, proven solution. At Austin City Dental, Dr. Cook focuses on precision, longevity, and natural results—without unnecessary enamel removal.

Schedule your Bioclear consultation today and find out if black triangle closure is right for you.

Frequently Asked Questions About Bioclear Black Triangle Closure

Is Bioclear painful?

Most patients find Bioclear very comfortable. Because there is usually little to no drilling, numbing is often unnecessary. If you are anxious about dental treatment, we can still use local anesthetic to keep you comfortable.

Will Bioclear stain over time?

Bioclear restorations are highly polished and more stain-resistant than traditional bonding. However, like natural teeth, they can pick up some color from coffee, tea, red wine, or tobacco. Regular cleanings and good home care help keep your smile bright.

Can Bioclear fix black triangles long-term?

Yes. Bioclear is one of the most effective long-term solutions for black triangle closure. As long as your gum health remains stable and you maintain good oral hygiene, results are durable and predictable.

Can you treat just one black triangle with Bioclear?

Yes. Bioclear can be used to correct a single black triangle or multiple spaces, depending on your needs. We will evaluate your smile and recommend the right approach so everything looks natural and balanced.

Does Bioclear weaken my teeth?

No. Bioclear is designed to strengthen teeth by wrapping them in bonded composite. Because we preserve natural enamel, the tooth often ends up stronger than it was before treatment.